¿Te han dicho que no tienes suficiente hueso para implantes dentales y que tu única opción es un injerto óseo o una prótesis removible? ¡En Idexdental tenemos la solución perfecta para ti! Con las mallas subperiósticas y los implantes customizados, puedes recuperar tu sonrisa fija en solo 24 horas, sin necesidad de procedimientos largos y complicados. Sigue leyendo para descubrir cómo estas técnicas innovadoras están revolucionando la odontología.
¿Qué son las Mallas Subperiósticas?
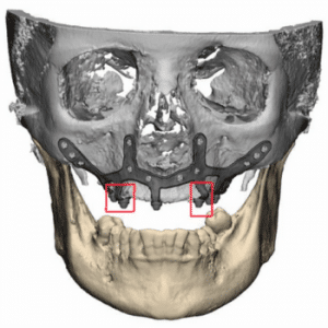
Las mallas subperiósticas son una alternativa revolucionaria para pacientes con poco hueso en el maxilar superior o inferior. En lugar de utilizar implantes dentales tradicionales, se diseña una malla de titanio personalizada que se adapta perfectamente a la estructura ósea existente. Esta malla se fija con pequeños tornillos y sirve como base para colocar los nuevos dientes fijos.
¿Por qué elegir las Mallas Subperiósticas en Idexdental?
✔ Solución ideal para pacientes con poco hueso, sin necesidad de injertos óseos.
✔ Procedimiento rápido: dientes fijos provisionales en 24 horas.
✔ Menos cirugías y recuperación más rápida que los injertos tradicionales.
✔ Aplicable en maxilar superior e inferior, adaptándose a cada caso.
✔ Técnica avanzada disponible en Idexdental, con especialistas altamente cualificados.
Comparación de Técnicas para Pacientes con Poco Hueso
1. Implantes cigomáticos
- ¿Qué son? Implantes especiales para pacientes con extrema falta de hueso en el maxilar superior.
- Ventajas: Evitan injertos óseos, permiten dientes fijos casi inmediatos.
- Limitaciones: Solo aplicables en el maxilar superior, requieren cirugía compleja y especialistas experimentados.
2. Grandes regeneraciones óseas (Injertos de huesos)
- ¿Qué son? Procedimientos para añadir hueso donde falta, ya sea del propio paciente o mediante materiales artificiales.
- Ventajas: Permiten colocar implantes convencionales después de la regeneración.
- Limitaciones: Requieren múltiples cirugías, tiempo de espera prolongado y pueden tener resultados impredecibles.
3. Implantes customizados (Mallas Subperiósticas)
- ¿Qué son? Mallas de titanio personalizadas que se adaptan al hueso existente, sin necesidad de injertos.
- Ventajas:
– Una sola cirugía con recuperación rápida.
– Dientes fijos en 24 horas.
– Aplicable en maxilar superior e inferior.
– Menos invasivo y más predecible que los injertos óseos.
Beneficios de las Mallas Subperiósticas en Idexdental
- Sin injertos óseos: Evita cirugías adicionales y tiempos de espera prolongados.
- Dientes fijos en 24 horas: Recupera tu sonrisa y funcionalidad masticatoria casi al instante.
- Técnica personalizada: Diseño 3D para un ajuste perfecto a tu anatomía.
- Resultados predecibles: Alta tasa de éxito en manos de especialistas cualificados.
¿Cómo funciona el Proceso en Idexdental?
- Valoración gratuita: Nuestros especialistas evalúan tu caso con tecnología 3D.
- Diseño personalizado: Creación de la malla subperióstica adaptada a tu hueso.
- Cirugía mínimamente invasiva: Colocación de la malla bajo sedación consciente.
- Dientes fijos en 24 horas: Recupera tu sonrisa de inmediato.
- Seguimiento y cuidados: Controles posteriores para garantizar el éxito a largo plazo.
Si has perdido dientes y te han dicho que no tienes suficiente hueso para implantes, las mallas subperiósticas son la solución que estabas buscando. En Idexdental, combinamos tecnología avanzada y experiencia para ofrecerte resultados rápidos, seguros y duraderos. ¡No esperes más para recuperar tu sonrisa!
